

努力解决人民群众反映突出、迫切需求的看病就医问题,让偏远山区的广大人民群众更加方便地享受到优质医疗服务,一直以来都是永胜县医疗机构前进的导向。进入巩固拓展脱贫攻坚成果同乡村振兴有效衔接阶段后,永胜县医疗服务水平较脱贫攻坚期间有了较大的提升,但专科建设滞后、学科带头人及业务骨干缺乏导致医疗服务水平整体效能提升难度大。针对以上问题,永胜县人民医院每年选派学科带头人或业务骨干到上海医院进修学习,根据永胜县人民医院业务发展及重点特色专科建设,有针对性选派业务骨干对永胜县人民医院进行带教帮扶,通过“传、帮、带”对薄弱学科、重点专科开展带教和技术指导。进一步带动永胜县人民医院相关学科的发展,不断提升了永胜县人民医院医疗服务综合能力和水平。
一是让当地群众在家门口就能享受到三级医院的医疗服务,托起了群众的“健康梦”。上海市杨浦区中心医院援滇医疗队葛岭主任指导永胜县人民医院神经外科开展颅内血肿清除术和颅内肿瘤切除术,术后患者均恢复良好。永胜县人民医院医疗服务水平得到再一次提升。
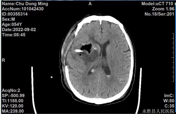
病例一:患者,男性,54岁,因“突发言语不清,意识模糊伴左侧肢体活动障碍5小时余”入院。入院后CT检查示:右侧基底节区急性大量脑出血,出血破入脑室系统,右侧侧脑室受压、中线结构向左移位。入院后诊断为:1.右侧基底节脑出血并破入脑室;2.脑疝形成;3.高血压3级,很高危组。患者病情危重,随时可能出现呼吸心跳骤停死亡,葛主任得知情况后迅速赶到医院,指导科室立即为患者实施开颅血肿清除术,手术顺利。目前患者正在做康复治疗。
术前

术后
二是通过远程诊疗,协同诊治疑难杂症,“大病不出县”的目标初步实现了。
病例二:患者,男性,58岁,因“口齿不清,右侧肢体活动障碍20小时”就诊,入院后CT及头颅MRI检查示左侧颞顶部颅内肿瘤,考虑左侧颞顶部脑膜瘤。因肿瘤体积大,且位于左侧中央沟的肢体运动功能区,手术风险大、难度高。葛主任多次阅读患者CT和MRI检查结果,邀请上海中心医院专家一起为患者制定了详细、周密的个性化手术方案后实施肿瘤切除术。在上海中心医院神经外科王雄伟主任的视频指导下,由葛岭主任和永胜县人民医院神经科马章辉主任共同为患者手术,术中完整切除肿瘤并很好保护了肿瘤周围脑组织及血管,手术过程顺利。术后经精心治疗和护理,患者恢复良好,右侧肢体功能基本恢复。


上海市杨浦区中心医院援滇医疗队葛岭主任和永胜县人民医院神经科马章辉主任共同为患者手术场景
三是“输血”“造血”并重,为永胜县医疗卫生队伍培养了一大批技术过硬的专业人才,打造了一支“永远不走”的医疗队。永胜县人民医院与上海交通大学附属仁济医院南院、杨浦区中心医院等两家三级医院分别建立了对口支援关系。截止目前,永胜县人民医院共派出20名业务骨干到上海医院进修学习,上海仁济南院共派出八批共40人,上海市杨浦区中心医院共派出一批共5人到永胜县人民医院对口支援。涉及重症医学科、麻醉科、消化内科、呼吸内科、心内科、肾内科、急诊内科、风湿免疫科、泌尿外科、神经外科、老年病科、骨科、儿科、五官科、妇产科、药剂、检验、放射、护理等20个专业,为永胜县的医疗业务发展,起到很大的促进作用。
四是加强薄弱学科、重点专科建设,开拓创新,不断提高服务质量和技术水平。
在对口帮扶专家的指导和帮扶下,永胜县人民医院新成立了重症医学科,支援医师担任ICU主任,经过两年多的努力,ICU从无到有,逐步规范,目前已正常运行,为永胜县危重病人的救治提供了保障。儿科成立了新生儿室,开展了新生儿机械通气、GINA方案在小儿支气管哮喘中的运用等7项新技术。五官科开展了全麻鼻内镜下钩突切除术、全麻鼻内镜下泪前隐窝上颌窦根治术等20余类130余例手术。骨科开展了髋关节置换术等4类30余例手术。肾内科医师通过会诊及小讲课,介绍了血液净化技术在急诊中的临床应用,并结合会诊病历,详细讲述了急性肾损伤与慢性肾功能不全的鉴别、急性肾损伤的透析指针,血气分析的解读等多项内容。医师药剂科下乡医师积极参与处方点评、抗菌药物合理应用等工作。风湿免疫科医师创立了风湿病友会,方便了病人和医师之间的交流,通过全院授课的方式,详细讲述风湿科常用药以及类风湿关节炎的诊断与治疗,引进了包括24小时尿蛋白、抗磷脂抗体、抗dsDNA抗体滴度、T-spot在内的检测项目。在开展新技术、新业务的同时,支援医师积极参与医疗护理质量的管理,通过教学查房、示教、病例讨论等方式,对永胜县人民医院的医疗、护理规范化管理、合理用药等方面,提出了很多建设性意见和建议。使永胜县人民医院管理更加规范有序,技术水平得到了提高,业务骨干得到了培养,医疗技术水平有了进一步的提高,医疗安全得到了保障,服务范围得到了拓展,综合实力得到了提升,带动了永胜县医疗的发展,满足了百姓日益增长的医疗需求,提高了社会效益和经济效益,达到了预期的效果。
如今,永胜大地秋意浓浓,对口帮扶工作还在继续。白衣天使们用医者大爱温暖了这座小县城,努力在为乡村振兴下的老百姓,打造出一支医疗精湛的医疗队伍,助力永胜县巩固拓展脱贫攻坚成果暨乡村建设。

编辑/李琳瑛
责编/林 彤
终审/和丽星
丽江市融媒体中心 出品
(发稿编辑:林彤)
【声明】如需转载丽江市融媒体中心名下任何平台发布的内容,请 点击这里 与我们建立有效联系。